
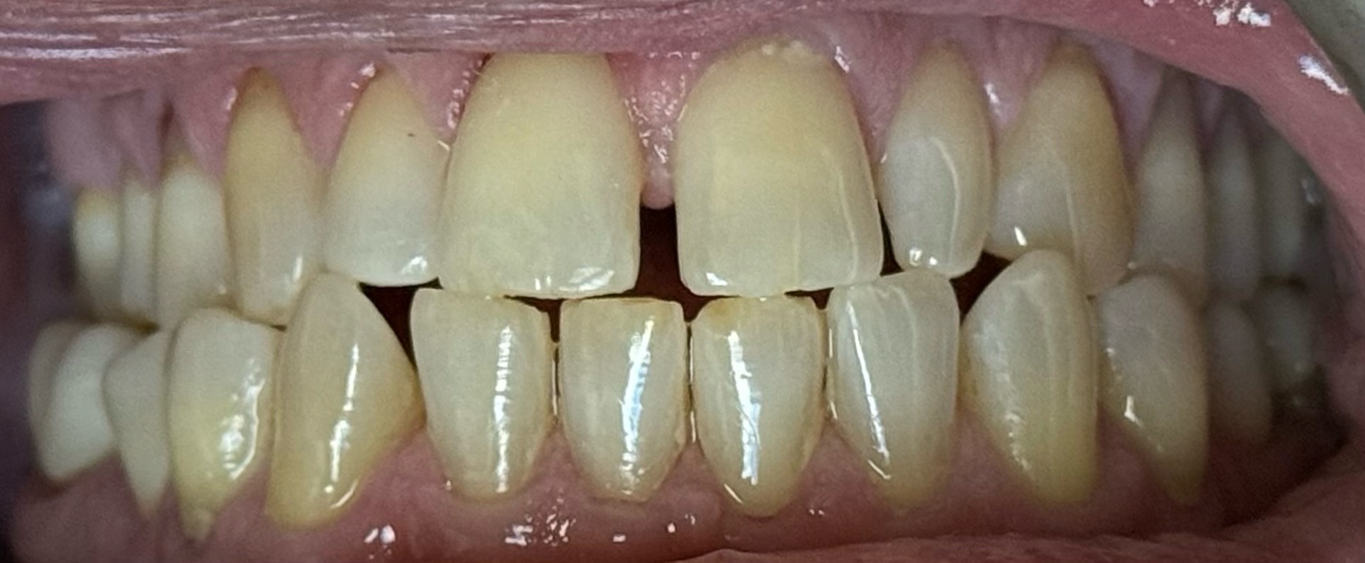
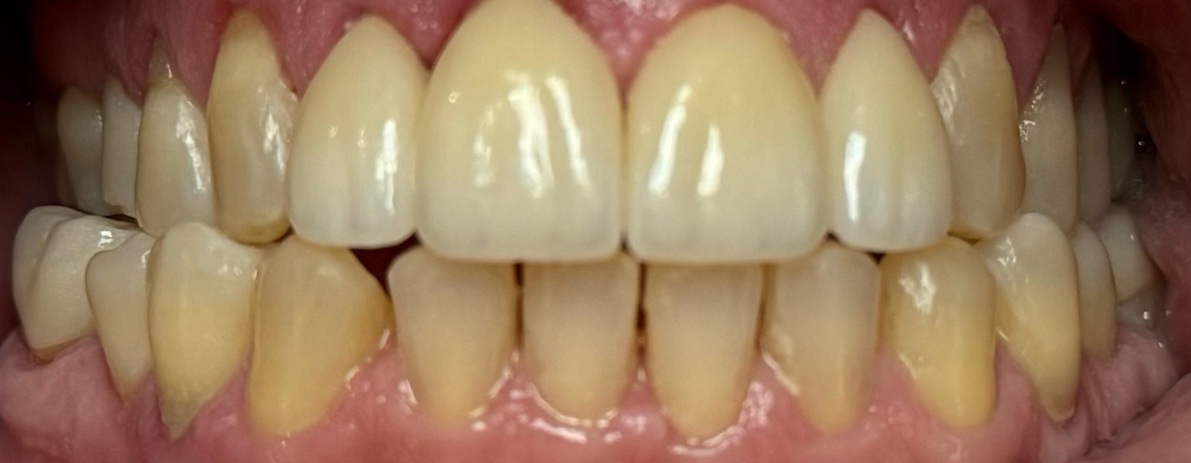
Considering a brighter, more uniform smile? Dental veneers could be the solution you are looking for! These thin, custom-made shells adhere to the front of your teeth, covering imperfections like chips, stains or gaps. Veneers provide a natural look and feel, enhancing your smile’s appearance and boosting your confidence. They are designed for longevity and stain resistance, so you can enjoy a radiant smile for years. See the stunning transformations our patients have experienced with veneers and envision the possibilities for your own smile makeover.


If you would like more information about dental veneers in Fords, New Jersey, and to schedule a consultation with our skilled dentist, Dr. Stella Backos, please call Fords Family Dental Care at 732-738-9087 today!