
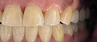
If you are missing one or more teeth and prefer a more permanent solution than dentures, dental implants could be the ideal option for you. These durable restorations mimic the appearance and function of natural teeth, allowing you to smile, eat and speak with confidence. Check out our patient’s before and after implant results:


If you would like more information about dental implants in Fords, New Jersey, and to schedule a consultation with our dedicated dentist, Dr. Stella Backos, please call Fords Family Dental Care at 732-738-9087 today!